
Kimberly G. Kallianos
Department of Radiology and Biomedical Imaging
University of California, San Francisco

Brett M. Elicker
Department of Radiology and Biomedical Imaging
University of California, San Francisco
The diagnosis of interstitial lung disease (ILD) involves multidisciplinary collaboration among radiology, pulmonary medicine, rheumatology, and anatomic pathology disciplines. Imaging findings play a major role in the diagnosis of a variety of diffuse lung diseases, and the radiologist’s input into the ultimate diagnosis is often substantial [1]. Imaging is of critical importance in the diagnosis of ILD, although the accurate interpretation of characteristic high-resolution CT (HRCT) findings can be challenging. This InPractice article will review common pitfalls for those tasked with interpretation of CT in the diagnosis of ILD with a focus on avoiding common errors, identifying distinguishing features of specific diagnoses, and recognizing entities with which CT has limited sensitivity.
Overdiagnosis of Usual Interstitial Pneumonia Pattern
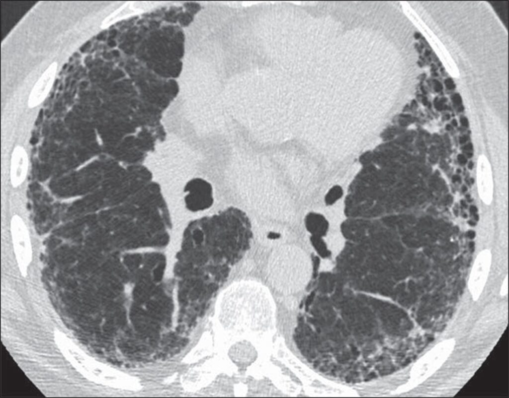
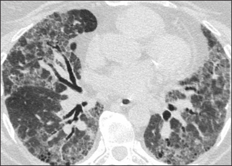
The goals of the radiologist in the evaluation of a patient with suspected pulmonary fibrosis are to determine whether a diffuse lung disease is present, determine the pattern of fibrosis, and provide an appropriate differential diagnosis. Usual interstitial pneumonia (UIP) pattern of pulmonary fibrosis is the most common ILD. UIP is most frequently idiopathic, but can also be secondary to connective tissue disease, medications, or exposure to asbestos [2]. Given the pervasiveness of this diagnosis, radiologists participating in the multidisciplinary diagnosis of patients with suspected ILD are frequently asked whether CT findings support a UIP diagnosis.Fortunately, guidelines can increase the confidence of radiologists in correctly identifying patients with UIP. The American Thoracic Society guidelines for the diagnosis of UIP pattern break down CT findings into four categories: UIP, probable UIP, indeterminate for UIP, and alternative diagnosis. The CT findings indicative of UIP pattern include subpleural and basal predominant fibrosis in addition to honeycombing, with or without traction bronchiectasis (Fig. 1).

Fig. 1—73-year-old man with idiopathic pulmonary fibrosis. HRCT scan shows usual interstitial pneumonia pattern of fibrosis characterized by subpleural and basal distribution of fibrosis with honeycombing.
This is to be distinguished from the probable UIP pattern, which is characterized by the same distribution of fibrosis including reticulation and traction bronchiectasis, but the absence of honeycombing [3].
The PPV of UIP pattern on CT for histologic UIP at surgical lung biopsy exceeds 90%, and as such, surgical lung biopsy is rarely performed when a confident diagnosis of UIP pattern can be made from imaging [3, 4]. For this reason, a diagnosis of UIP should only be made when the radiologist is confident that the imaging findings are consistent with this pattern, because often further diagnostic testing will not be pursued, potentially depriving the patient of the opportunity to receive the correct diagnosis. This distinction is not trivial; those diagnosed with UIP may be treated with antifibrotic medications and thus be subject to the side effects thereof. Not surprisingly, patients treated with antifibrotics for UIP will not be given immunosuppressive therapy, which could be a more appropriate treatment in the setting of another histologic diagnosis (e.g., nonspecific interstitial pneumonia) nor will an extensive search for exposures be pursued (e.g., as is done with patients with hypersensitivity pneumonitis).
Given the importance of correctly making a diagnosis of UIP and avoiding overdiagnosis of this entity, radiologists interpreting HRCT should be mindful of the potential pitfalls described in the following sections.
Correctly Distinguish Honeycombing From Mimics
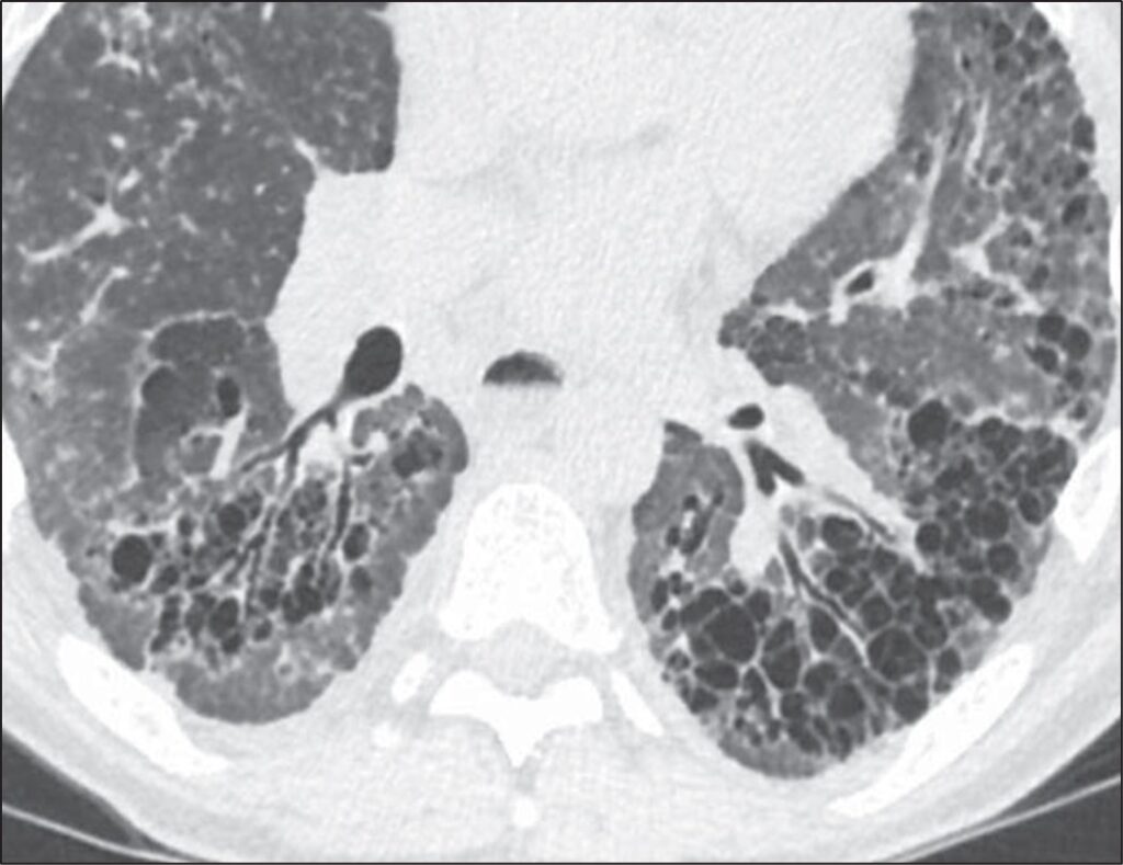
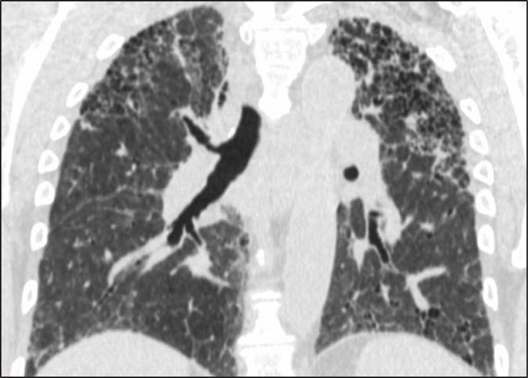
Honeycombing can be confidently diagnosed when there is a group of round clustered air-filled cysts in a row or cluster in the subpleural lung [5]. The subpleural involvement in honeycombing is critical in distinguishing it from other abnormalities. Multiple layers of cysts increase the reader’s confidence in honeycombing but are not required for diagnosis. Honeycomb cysts usually range in size from 3 to 10 mm and have relatively thick, well-defined walls [6]. In general, there is moderate agreement among radiologists for the presence of honeycombing, with kappa values ranging from 0.4 to 0.6 in one series comparing 43 different observers. There was disagreement on the presence of honeycombing in 29% of these cases [7]. Use of the above general rules for the features of honeycombing is helpful when distinguishing from common mimics. The most frequent findings mistaken for honeycombing include traction bronchiectasis, cystic lung disease, emphysema, and subpleural reticulation [8].To distinguish traction bronchiectasis from honeycombing, the shape of the air-filled structure should be noted. Airways in traction bronchiectasis are tubular in shape, which may be best seen on multiplanar reformatted images. Additionally, air-filled structures in the central or peribronchovascular lung are not consistent with honeycombing and are very likely a result of dilated airways (Fig. 2).


Fig. 2—Patient with scleroderma and fibrotic nonspecific interstitial pneumonia. Left, HRCT scan shows traction bronchiectasis mimicking honeycombing. Right, HRCT scan shows that air-filled structures spare subpleural lung.
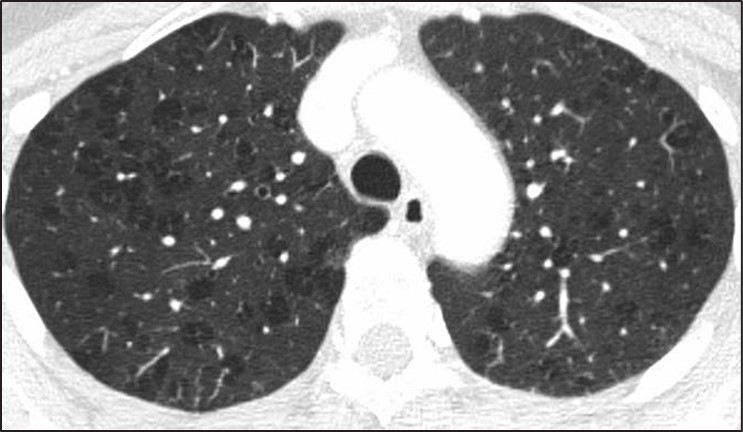
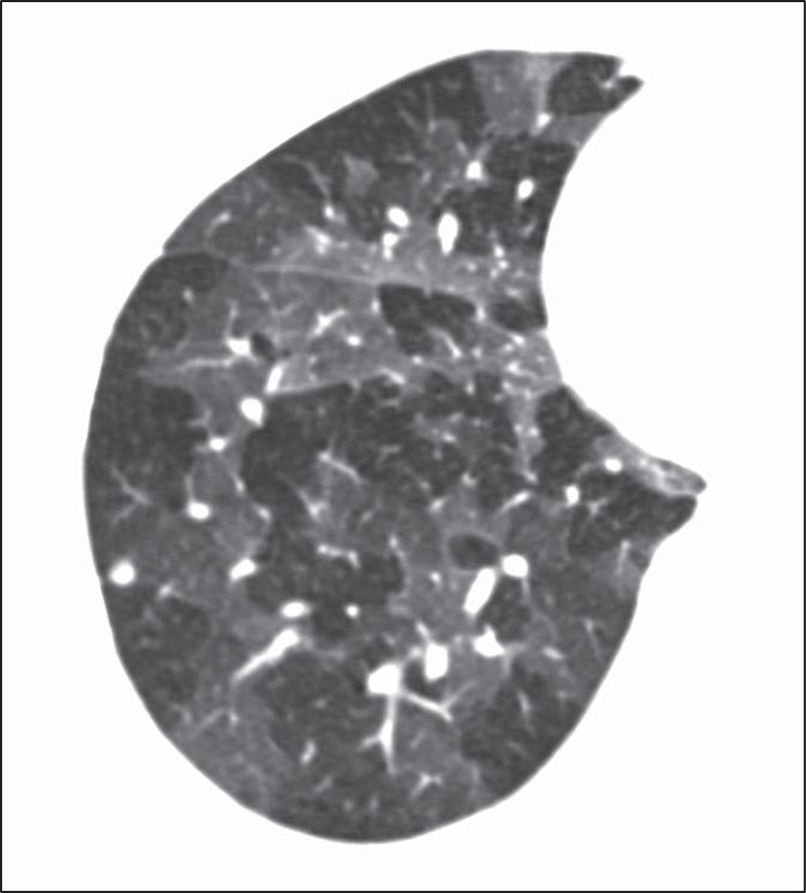
Destruction of airspaces in patients with emphysema can lead to the presence of air-filled structures in the subpleural lung; however, these structures can be distinguished from honeycombing by the overall size of emphysematous spaces that in general are larger than honeycombing cysts, the presence of paper-thin walls in emphysema in contrast to thicker walls of honeycombing, and the absence of other findings of fibrosis such as reticulation and traction bronchiectasis in patients with emphysema [9] (Fig. 3).

Fig. 3—HRCT scan shows patient with paraseptal emphysema with extensive involvement of subpleural lung, but without well-defined walls or other findings of fibrosis.
Cystic lung disease can be distinguished from honeycombing given that the cysts are often larger, scattered throughout the lung rather than clustered, and not subpleural in distribution. Shape can also be helpful in distinguishing cystic lung disease from honeycombing in that honeycomb cysts are round, whereas several cystic lung diseases are characterized by either oblong or elliptical cysts (Birt-Hogg-Dubé syndrome) or irregularly shaped cysts (Langerhans cell histiocytosis) [10].
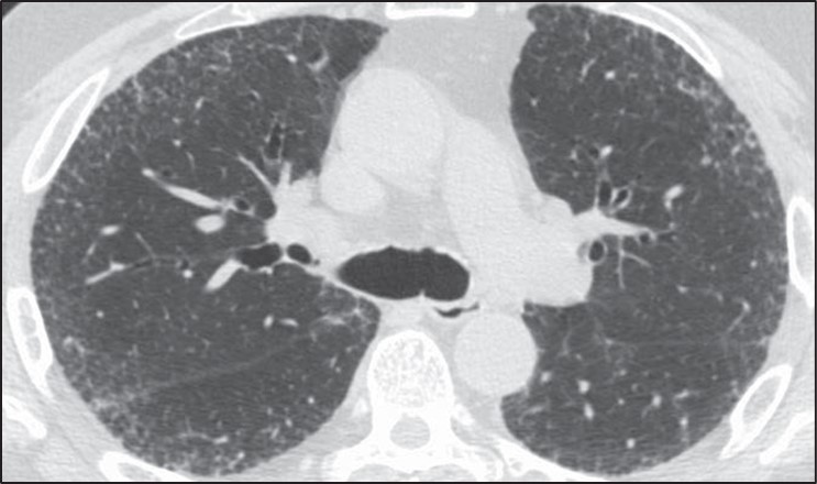
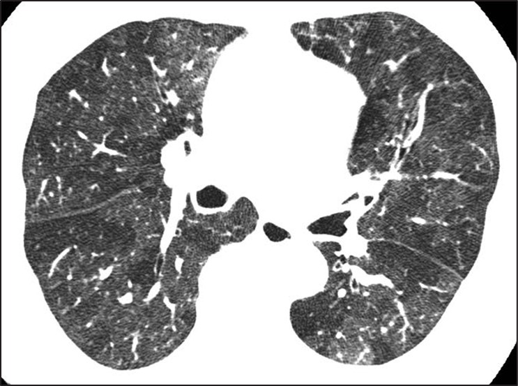
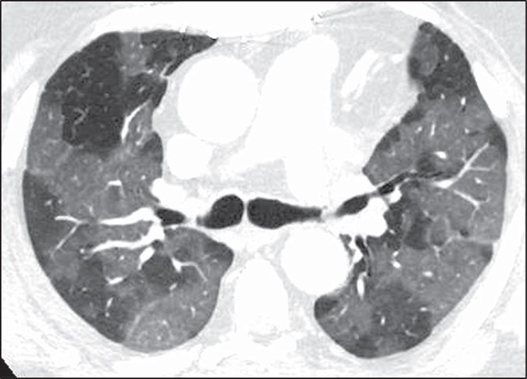
Reticulation or fine lines in the subpleural lung can also be mistakenly identified as honeycombing. To avoid this pitfall, radiologists should ensure that the subpleural abnormality is air density rather than lung density (Fig. 4).

Fig. 4—HRCT scan shows thin lines in subpleural lung in patient with pulmonary fibrosis characterized by diffuse reticulation. Abnormality in subpleural lung is lung density (same as more central lung parenchyma) rather than air density (for example in trachea), which is helpful in confirming that these findings do not represent honeycombing.
Identify Whether the Distribution of Fibrosis Is Subpleural and Basal


Fig. 5—Fibrosis with honeycombing in atypical distribution. Left, Axial HRCT scan shows diffuse fibrosis in association with ground-glass opacity. Diagnosis was hypersensitivity pneumonitis. Right, Coronal HRCT scan shows upper lobe–predominant fibrosis. Diagnosis was sarcoidosis.
Fibrosis that is diffuse in the axial plane or predominately in an upper lung, central, or peribronchovascular distribution may indeed be associated with honeycombing but nonetheless be caused by other entities such as nonspecific interstitial pneumonia, sarcoidosis, or hypersensitivity pneumonitis [11, 12]. Subpleural and basal distribution of fibrosis is essential to describing a pattern of fibrosis consistent with UIP at imaging. A percentage of cases with atypical distributions of fibrosis and honeycombing may be subsequently identified as UIP after biopsy; however, these cases are exactly those that benefit from surgical lung biopsy because there is a relatively high chance (70%) that another diagnosis will be found [12, 13].
Identify Inconsistent Findings
Numerous CT findings are of a diagnosis other than UIP pattern including the presence of significant ground-glass opacity, marked mosaic attenuation, nodules, and consolidation [13]. Each of these findings points the radiologist toward a diagnosis other than UIP. Patients with nonspecific interstitial pneumonia (i.e., ground-glass opacities), hypersensitivity pneumonitis (i.e., mosaic attenuation), sarcoidosis (i.e., nodules), and organizing pneumonia (i.e., consolidation) can all be identified by the presence of these features, and the presence of honeycombing should not detract from the CT findings that indicate these alternative diagnoses.
Overdiagnosis of Cystic Lung Disease
Many of the pitfalls in correctly identifying honeycombing and distinguishing honeycombing from mimics can also be applied to the correct diagnosis of cystic lung disease. When considering a potential diagnosis of cystic lung disease, it is important to again identify mimics: honeycombing, dilated airways and bronchiectasis, and emphysema. The extent of abnormality, from mild to severe, is also important to consider in this context. A few scattered pulmonary cysts may be considered in the spectrum of normal, particularly for older patients, and are most likely postinfectious rather than indicative of a cystic lung disease [14].Whereas the primary features of bronchiectasis (i.e., tubular shape) and honey- combing (i.e., thick walls, clustered, subpleural) make distinguishing these entities from cystic lung disease more straightforward, correctly distinguishing cystic lung disease from emphysema can be challenging. This challenge is in part because both entities can have very thin or imperceptible walls and can occur on a spectrum from mild to severe. The presence of the “central dot” sign in which the centrilobular artery is seen within an emphysematous space can be helpful in correctly distinguishing centrilobular emphysema from a cystic lung disease; however, this finding is not reliably seen in all regions of emphysema [15] (Fig. 6).

Fig. 6—Axial HRCT scan shows “central dot” sign in patient with centrilobular emphysema.
In general, pulmonary cysts are fewer in number, noncentrilobular in distribution, and have thicker or more perceptible walls compared with centrilobular emphysema [16]. Paraseptal emphysema and panlobular emphysema are less frequently mistaken for cystic lung disease because of their strongly subpleural distribution and overall extent respectively.
Distinguishing cystic lung diseases from one another can also be challenging; however, several key features including cyst shape, number, distribution, and classic demographic factors and associated findings can aid the radiologist in providing an appropriate differential diagnosis. Using these features allows the radiologist to narrow the differential diagnosis for a particular case to fit the specific CT features seen rather than including a long differential diagnosis consisting of all cystic lung diseases [17]:
Distinguishing Features of Cystic Lung Diseases
Disease | Cyst | Other Indicators | ||
| Shape | Number | Distribution | ||
| Lymphangioleiomyomatosis Birt-Hogg-Dubé syndromeLight chain deposition disease Pulmonary Langerhanscell histiocytosisLymphocytic interstitial pneumonia | RoundElliptical or oval Round or oval Irregular Round | Few to many Few Few to many ManyFew | RandomJuxtapleural, perifissural, lower lungLower lung Upper lungRandom | Female sex, renal angiomyolipoma Pneumothorax, renal mass Cysts and nodules Smoker Ground-glass opacity, connective tissue disease |
The presence of associated features may also be helpful in correctly identifying the presence and cause of a cystic lung disease when the abnormalities are mild and nonspecific.
Pitfalls in the Interpretation of Mosaic Attenuation and Small Airways Disease
Small airways disease may present a significant challenge in HRCT interpretation and typically manifests on HRCT as two main categories of findings: nodules or mosaic attenuation. Nodules may correspond to any of the following histologic findings: inflammation within the lumen of the airways, alveolar disease centered on the airway, or peribronchiolar interstitial inflammation. Diseases categorized by nodules are generally detected on HRCT with high sensitivity and are typically straightforward to classify.
Small airways obstruction causes hypoxia distal to the area of obstruction, resulting in regional areas of reflex vasoconstriction. Given that approximately 50% of lung attenuation is due to blood flow, regional reductions in perfusion result in a decrease in lung attenuation. These regional areas of decreased lung attenuation are described as “mosaic attenuation” or “mosaic perfusion.” More precisely, mosaic attenuation is a more general term and describes the presence of geographic areas of different lung attenuation but does not make a determination as to which lung is abnormal, whether the opaque or lucent lung. Mosaic perfusion, on the other hand, implies specifically that the lucent lung is abnormal and is the finding that most precisely corresponds to airways obstruction with reflex vasoconstriction [18].
The differential diagnosis of mosaic perfusion is broad and encompasses a wide variety of both small airways diseases and pulmonary vascular diseases. It may be associated with other findings (e.g., nodules) or may be seen in isolation. The presence of mosaic perfusion is most helpful in formulating a differential diagnosis when seen in isolation, in which case it may be due to pulmonary vascular disease (mainly chronic thromboembolic disease), constrictive bronchiolitis, asthma, and hypersensitivity pneumonitis [19].Diseases characterized by isolated mosaic perfusion may present a significant challenge for several reasons. First, mosaic perfusion is a finding that is sometimes difficult to detect on HRCT. The subtle difference in attenuation frequently seen between the normal and more lucent lung is better observed when a narrow window is applied to the HRCT examination, accentuating the attenuation differences (Fig. 7).


Fig. 7—Mosaic perfusion and importance of windowing in high-resolution CT (HRCT). Left, Standard lung window in HRCT shows heterogeneous lung attenuation with subtle difference between opaque and lucent lung. Right, More narrow window accentuates difference between two lung attenuations and increases sensitivity for detection of mosaic perfusion.
Second, when small airways or vascular diseases are diffuse in nature they result in a global and uniform decrease in lung perfusion. A diffuse HRCT abnormality is difficult to identify because there is no normal lung with which to compare the abnormality. This is most commonly seen in severe constrictive bronchiolitis [20]. Additionally, diffuse air trapping on expiratory CT is difficult to distinguish from poor timing or an inadequate respiratory effort. In these cases the HRCT scan may appear normal despite profound dyspnea and marked obstruction on pulmonary function tests. The diffuse but subtle decrease in lung attenuation is often not detected given its homogeneous nature.Mosaic perfusion (i.e., abnormal lucent lung) should be distinguished from ground-glass opacity (i.e., abnormal opaque lung), however, this distinction also has several pitfalls. Features that favor mosaic perfusion include sharp borders between the two regions of lung, smaller vessels in the lucent lung, and air trapping on expiration in the areas that were lucent on inspiration that only present in small airways disease (Fig. 8).




Fig. 8—Features of mosaic perfusion on high-resolution CT (HRCT). First two images, Axial HRCT scans show typical features of mosaic perfusion including sharp borders between opaque and lucent lung (first), larger vessels in normal more opaque lung (second), and air trapping on dynamic expiratory images. Third and fourth image, Paired inspiratory (third) and expiratory (fourth) HRCT images show heterogeneous lung attenuation on inspiration and air trapping on expiration.
None of these features are perfect in making this distinction, however. For instance, diseases characterized by ground-glass opacity may occasionally be geographic with sharp borders (Fig. 9).

Fig. 9—Axial high-resolution CT scan shows ground-glass opacity due to SARS-CoV-2 infection. Sharp borders between areas of opaque and lucent lung usually suggest that lucent lung is abnormal and pattern is mosaic perfusion. However, sharp borders may occasionally be seen in ground-glass opacity, such as in this case. Normal lung and areas of ground-glass opacity show marked difference in attenuation.
In these cases, the absolute difference in attenuation between the two regions of lung may be helpful. Mosaic perfusion typically results in a relatively subtle difference in attenuation between the diseased lucent lung and the normal opaque lung. Ground-glass opacity, on the other hand, typically shows a more marked difference in density between the two areas [21]. That being said, when mosaic perfusion results in significant shunting of blood away from the diseased areas, a greater difference in lung attenuation may be present. These cases are not infrequently misinterpreted as ground-glass opacity. Another challenge in the distinction between mosaic perfusion and ground-glass opacity is that many cases of mosaic perfusion will not show a significant difference in vessel size between the lucent and opaque lung. Last, pulmonary vascular diseases characterized by mosaic perfusion will not show air trapping on expiratory CT. Thus, expiratory CT is not helpful in the diagnosis of diseases such as chronic pulmonary embolism [22].
Pitfalls in the Interpretation of Diffuse Nodular Lung Disease
Formulating a differential diagnosis of diffuse nodular lung disease is done by identifying the distribution of nodules in relation to the pulmonary lobular anatomy. Three distributions have been described: perilymphatic, random, and centrilobular [23–25]. The perilymphatic distribution is characterized by patchy, clustered nodules that are concentrated most frequently in the peribronchovascular and subpleural interstitium. Random nodules will also be seen in the subpleural lung; however, they are not clustered but instead show diffuse homogeneous lung involvement. Centrilobular nodules are characterized by a distinct lack of nodules involving the subpleural interstitium.
The determination of the predominant pattern of diffuse nodular lung disease has several pitfalls. The perilymphatic pattern shows significant heterogeneity in the distribution of nodules. Although peribronchovascular and subpleural nodules are most typical, nodules in the interlobular septa, which also contain lymphatics, may predominate [26]. These cases may be confused for lymphangitic spread of tumor or pulmonary edema, although the thickening of the interlobular septa in pulmonary edema should be smooth, not nodular. The centrilobular interstitium is continuous with the peribronchovascular interstitium. Rarely, lymphatic diseases may have a predominance of centrilobular nodules overlapping with the centrilobular distribution (Fig. 10).

Fig. 10—Axial high-resolution CT scan shows centrilobular nodules in perilymphatic disease. Many centrilobular nodules (arrows) are present in this patient with sarcoidosis. Subpleural nodules reflect perilymphatic distribution of disease.
Although many centrilobular nodules may be present in lymphatic diseases, nodules should also be seen in the peribronchovascular or sub- pleural interstitium. This is in distinction to the centrilobular pattern in which only centrilobular nodules are present and no subpleural nodules should be seen. Lastly, diseases typically associated with a perilymphatic distribution of nodules (such as sarcoidosis) may occasionally show a fairly homogeneous involvement of the lung, mimicking a random distribution [27] (Fig. 11).

Fig. 11—Axial high-resolution CT scan shows perilymphatic distribution mimicking random nodules. Innumerable tiny nodules are present. Although pattern resembles random distribution, heterogeneous distribution in lung shows proportionally more nodules along fissures (arrows) than would be expected for random distribution.
A greater number of nodules in the subpleural or peribronchovascular interstitium may be the only clue that the distribution is perilymphatic.
Diseases for Which HRCT Has Limited Sensitivity
Certain categories of diseases may present with significant symptoms or pulmonary function test abnormalities but only manifest with mild HRCT abnormalities. Understanding the subtle imaging clues that may be present in these diseases is important in increasing the sensitivity of imaging for diagnosis. The two main categories of disease that show this discrepancy between symptoms and pulmonary function tests and HRCT manifestations of disease include small airways diseases and pulmonary vascular diseases. As discussed above, small airways diseases that manifest as isolated mosaic perfusion (e.g., constrictive bronchiolitis) may be difficult to detect on HRCT. The subtle increase in lung lucency associated with these diseases may be difficult to see, especially when the disease is diffuse in distribution [28]. Pulmonary vascular diseases such as pulmonary hypertension or chronic pulmonary embolism may also present with subtle findings. Centrilobular nodules or ground-glass attenuation or mosaic perfusion are often the only findings present and are typically much less severe than would be predicted by the patient’s advanced clinical symptoms. The lungs may appear completely normal in some patients with pulmonary vascular disease, in which case the only manifestation of pulmonary vascular disease may be extrapulmonary findings such as an enlarged pulmonary artery or right ventricular enlargement [29]. Lastly, pulmonary symptoms and pulmonary function test abnormalities might have one of several nonlung causes including pleural fibrosis, diaphragmatic dysfunction, and musculoskeletal abnormalities. All of these should be evaluated in patients with significant symptoms but no evidence of lung abnormalities on HRCT.
Awareness of common pitfalls in the diagnosis of ILD including the UIP pattern of fibrosis, cystic lung disease, airways disease, diffuse nodular disease, and lung diseases with subtle HRCT findings will better equip the radiologist to contribute to the multidisciplinary diagnosis of patients with ILD.
References
- Hovinga M, Sprengers R, Kauczor HU, Schaefer-Prokop C. CT imaging of interstitial lung diseases. In: Schoepf UJ, Meinel FG, eds. Multidetector-row CT of the thorax. Springer, 2016:105–130
- Wuyts WA, Cavazza A, Rossi G, Bonella F, Sverzellati N, Spagnolo P. Differential diagnosis of usual interstitial pneumonia: when is it truly idiopathic? Eur Respir Rev 2014; 23:308–319
- Raghu G, Remy-Jardin M, Richeldi L, et al. Idiopathic pulmonary fibrosis (an update) and progressive pulmonary fibrosis in adults: an official ATS/ERS/ JRS/ALAT clinical practice guideline. Am J Respir Crit Care Med 2022; 205:e18–e47
- Brownell R, Moua T, Henry TS, et al. The use of pre- test probability increases the value of high-resolution CT in diagnosing usual interstitial pneumonia. Thorax 2017; 72:424–429
- Hobbs S, Chung JH, Leb J, Kaproth-Joslin K, Lynch DA. Practical imaging interpretation in patients suspected of having idiopathic pulmonary fibrosis: official recommendations from the Radiology Working Group of the Pulmonary Fibrosis Foundation. Radiol Cardiothorac Imaging 2021; 3:e200279
- Hansell DM, Bankier AA, MacMahon H, McLoud TC, Müller NL, Remy J. Fleischner Society: glossary of terms for thoracic imaging. Radiology 2008; 246:697–722
- Watadani T, Sakai F, Johkoh T, et al. Interobserver variability in the CT assessment of honeycombing in the lungs. Radiology 2013; 266:936–944
- Arakawa H, Honma K. Honeycomb lung: history and current concepts. AJR 2011; 196:773–782
- Devaraj A. Imaging: how to recognise idiopathic pulmonary fibrosis. Eur Respir Rev 2014; 23:215–219
- Grant LA, Babar J, Griffin N. Cysts, cavities, and honeycombing in multisystem disorders: differential diagnosis and findings on thin-section CT. Clin Ra- diol 2009; 64:439–448
- Abehsera M, Valeyre D, Grenier P, Jaillet H, Battesti JP, Braunerl MW. Sarcoidosis with pulmonary fibro- sis: CT patterns and correlation with pulmonary function. AJR 2000; 174:1751–1757
- Silva CIS, Churg A, Müller NL. Hypersensitivity pneumonitis: spectrum of high-resolution CT and pathologic findings. AJR 2007; 188:334–344
- Raghu G, Remy-Jardin M, Myers JL, et al. Diagnosis of idiopathic pulmonary fibrosis. an official ATS/ ERS/JRS/ALAT clinical practice guideline. Am J Respir Crit Care Med 2018; 198:e44–e68
- Araki T, Nishino M, Gao W, et al. Pulmonary cysts identified on chest CT: are they part of aging change or of clinical significance? Thorax 2015; 70:1156–1162
- Friedman PJ. Imaging studies in emphysema. Proc Am Thorac Soc 2008; 5:494–500
- Lee KC, Kang EY, Yong HS, et al. A stepwise diagnostic approach to cystic lung diseases for radiologists. Korean J Radiol 2019; 20:1368–1380
- Ferreira Francisco FA, Soares Souza A, Zanetti G, Marchiori E. Multiple cystic lung disease. Eur Respir Rev 2015; 24:552–564
- Stern EJ, Müller NL, Swensen SJ, Hartman TE. CT mosaic pattern of lung attenuation: etiologies and terminology. J Thorac Imaging 1995; 10:294–297
- Parambil JG, Yi ES, Ryu JH. Obstructive bronchiolar disease identified by CT in the non-transplant population: analysis of 29 consecutive cases. Respirology 2009; 14:443–448
- Gunn ML, Godwin JD, Kanne JP, Flowers ME, Chien JW. High-resolution CT findings of bronchiolitis obliterans syndrome after hematopoietic stem cell transplantation. J Thorac Imaging 2008; 23:244–250
- Kligerman SJ, Henry T, Lin CT, et al. Mosaic attenuation: etiology, methods of differentiation, and pitfalls. RadioGraphics 2015; 35:1360–1380
- Ridge CA, Bankier AA, Eisenberg RL. Mosaic attenuation. AJR 2011; 197:[web]W970–W977
- Loverdos K, Fotiadis A, Kontogianni C, Iliopoulou M, Gaga M. Lung nodules: a comprehensive review on current approach and management. Ann Thorac Med 2019; 14:226–238
- Boitsios G, Bankier AA, Eisenberg RL. Diffuse pulmonary nodules. AJR 2010; 194:[web]W354–W366
- Gruden JF, Webb WR, Naidich DP, McGuinness G. Multinodular disease: anatomic localization at thin-section CT—multireader evaluation of a simple algorithm. Radiology 1999; 210:711–720
- Shroff G, Konopka K, Chiles C. Perilymphatic pulmonary nodules: definition, differential diagnosis, and demonstration of the “pipe-cleaner” sign. Con- temporary Diagnostic Radiology 2013; 36:1–5
- Rajagopala S, Sankari S, Kancherla R, Ramanathan RP, Balalakshmoji D. Miliary sarcoidosis: does it exist? A case series and systematic review of literature. Sarcoidosis Vasc Diffuse Lung Dis 2020; 37:53–65
- Hansell DM. Small airways diseases: detection and insights with computed tomography. Eur Respir J 2001; 17:1294–1313
- Kacprzak A, Burakowska B, Kurzyna M, et al. Predictive value of chest HRCT for survival in idiopathic pulmonary arterial hypertension. Respir Res 2021; 22:293

