Published November 4, 2022

Sameer Mittu, MBBS
Division of Musculoskeletal Imaging and Intervention
Department of Radiology Massachusetts General Hospital

Joao R.T. Vicentini, MD
Division of Musculoskeletal Imaging and Intervention
Department of Radiology Massachusetts General Hospital

Connie Y. Chang, MD
Division of Musculoskeletal Imaging and Intervention
Department of Radiology Massachusetts General Hospital
The ankle and foot are challenging areas to image and diagnose, due to complex anatomy. In advance of the 2023 ARRS Annual Meeting Categorical Course, “Pitfalls and Challenging Cases: How to Triumph and Make the Diagnosis,” our InPractice article is a collection of cases that we hope will help you conquer some of these pathologies.
Nearly all ankle and midfoot cases begin with radiographs, because radiography is the modality we usually encounter initially, and x-rays can often give us many clues about the diagnosis, especially in the ankle. In the midfoot, which has more complicated anatomy, cross-sectional imaging, especially MRI, is often required to make the diagnosis.
Case No. 1

For the classic inversion injury or ankle “sprain,” we typically think of lateral ankle ligament injuries, or a fibular avulsion fracture. Since the foot and ankle are relatively flexible, injuries can occur in many places. Our first case is a 27-year-old man who injured his ankle in a rollover car accident. In the lateral aspect of the talar dome—left image above—there is a curvilinear subchondral lucency (dotted curve) seen on the frontal radiographic view, compatible with an osteochondral lesion (arrow).
Osteochondral lesions (OCL) of the talus can be quite difficult to see on x-rays, and OCLs are often missed, especially when they occur with other bony injuries. For example, a patient may have a fibular fracture, which is adequately treated, and then experience persistent pain later on [1]. If the mechanism of injury involves shearing (e.g., tibiotalar subluxation), compression (e.g., falling from a height) or avulsion (e.g., distraction of the tibiotalar joint), the index of suspicion for an osteochondral injury should be higher, although these details may be difficult to ascertain from the patient or the medical record [2]. Impaction of the talus on the distal tibial plafond leads to microfractures in the cartilage and subchondral bone plate, and the increased pressure from weight-bearing can cause osteonecrosis [3]. This process can take a variable amount of time; therefore, presentation may be delayed up to 6–12 months. Even if the OCL is seen on radiographs, cross-sectional imaging is frequently needed. CT may be more helpful to evaluate small or comminuted OCLs, as ossific fragments may be difficult to visualize on MRI [4]. Apropos, the coronal reconstruction CT image of this case—right image above—demonstrates the mildly displaced, dominant osteochondral fragment (solid arrow). There is an additional punctate ossific fragment (dashed arrow) along the lateral aspect of the osteochondral injury, not seen on the x-ray. It would be unlikely to see this fragment on MRI, simply because of the inadequate spatial resolution.
Case No. 2

When an ossific fragment is not displaced, as in this case of a 39-year-old who twisted her ankle on the stairs 6 months ago, MRI can be helpful to evaluate for stability. On the coronal T2 fat-suppressed image—left image above—we can see that the fragment is somewhat irregular at the articular surface, but there is fluid signal intensity completely undercutting the fragment (solid arrow), and bone marrow edema in the adjacent talus, suggesting that the fragment is unstable [5]. There is mild subchondral bony irregularity and depression (dashed arrow), too. Other signs of instability may be cystic change or partial or complete separation of the fragment from the donor site [8].
The sagittal T1 image—right image above—shows that a large portion of the fragment is low in signal intensity, which persists on all sequences, and there is articular surface collapse, suggesting that the portion is at least partially osteonecrotic [8]. Another portion still demonstrates fat signal intensity (solid arrow) on T1 and high signal on the T2 fat-suppressed image, suggesting that tis portion remains viable.
This patient was placed on a trial of conservative treatment, including a lace-up ankle brace and semi-rigid orthosis, which had just begun at the time of writing this article. Management depends on patient symptoms, as well as size and stability of the OCL. In general, small (< 15mm2), stable fragments in ankle fractures are treated conservatively, whereas large, unstable fragments are managed operatively [3, 6–7, 9]. Surgical options include arthroscopic drilling, excision and debridement, or osteocartilaginous grafting [2].
Case No. 3

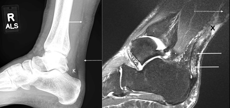
Our third and final case is a 33-year-old woman, playing tennis two hours prior to presentation, who had planted her foot, tried to run forward, then felt something like “a hit behind her ankle.” The patient could no longer walk without significant pain. The initial radiograph demonstrates distal Achilles thickening, and more proximally, a focally irregular anterior margin, consistent with Achilles tendinopathy and tear. Achilles tendon ruptures account for 20% of all large tendon ruptures [10]. Showing bimodal age distribution, the first peak occurs around the third to the fifth decade of life, due to high-energy injuries, while the second peak occurs in the elderly, due to low-energy injuries to a degenerated tendon. Men are more commonly affected. Achilles tears are more common in sports with forceful and repetitive jumping or “push-off,” often seen in cyclists, gymnasts, runners, and divers, as well as tennis, basketball, and volleyball players. Risk factors include poor conditioning before exercise, prolonged use of corticosteroids, fluoroquinolone antibiotics, and overexertion [11].
Because the Achilles tendon is bound by the Kager fat pad anteriorly and subcutaneous fat posteriorly, an abnormal appearance can often be detected on radiographs [12]. The lateral radiograph—left image above—demonstrates diffuse fusiform thickening of the Achilles tendon (dashed arrow). More proximally, the tendon is irregular anteriorly, consistent with a tear. There is edema in the Kager fat pad (“K”), also indicating acute tear. It can be difficult to determine partial versus full-thickness tear, and in this case, the posterior margin of the tendon appears intact, suggesting that it is a high-grade partial, rather than full-thickness tear, although MRI later confirmed that it was a full-thickness tear. Ossific foci, if present, suggest chronic tears (not seen in this case) [13].
On MRI, we first observe that the foot was placed in plantar flexion, which may underestimate the tendon gap. While this typically does not preclude diagnosis of the tendon tear, it inevitably brings torn pieces of tendon closer together, and the maximum tendon gap cannot be determined.
The sagittal T2 fat-suppressed image—right image above—demonstrates a full-thickness tear (“X”) and severely degenerated proximal (dashed arrow) and distal (solid arrows) tendon. The uniformly thickened and hyperintense distal tendon is probably a combination of chronic tendon degeneration and acute edema from the tear, especially as individual fibers within the tendon are relatively well seen. It is important to comment on tendon quality and the length of tendon, which appears severely degenerated, because this tendon may not be useable for repair [14]. Many of the internal strands appear wavy, compatible with retraction. MRI is considered the gold standard for imaging Achilles tendon tears (sensitivity, 80–100%; specificity, 100%) (8, 15). Ultrasound also has high sensitivity (full thickness, 95%; partial thickness, 94%) and specificity (full thickness, 99%; partial thickness, 97%) for the detection of Achilles tendon tears, given the tendon’s superficial location and possibility of dynamic imaging with the modality (16, 17). This patient’s tear was also well seen on ultrasound (not shown).
Since the patient was only visiting the United States, she was placed in a boot for her trip home, although surgical intervention was required soon after arriving. Management of Achilles tendon ruptures is controversial and evolving. Overall, there has been a general trend moving toward immobilization with functional rehabilitation, rather than treating all ruptures exclusively with surgical repair [18, 19].
Focusing on interpretative skills for avoiding misdiagnoses across a wide spectrum of musculoskeletal imaging pitfalls, the 2023 ARRS Annual Meeting Categorical Course, “Pitfalls and Challenging Cases: How to Triumph and Make the Diagnosis,” will also tackle challenging cases within neuroradiology, abdominal, and chest imaging. Topics will emphasize real-life clinical scenarios, while providing tips and tricks for optimal performance. We invite you to join us on the beautiful island of Oahu in Honolulu, HI (or virtually or even on demand) for this exciting, 18-hour Categorical Course, purposefully designed to enhance your ability to add value to patient management.
References
- StatPearls Publishing; www.ncbi.nlm.nih.gov/books/NBK556139. Cited Accessed Aug 18 2022
- Badekas T, Takvorian M, Souras N. Treatment principles for osteochondral lesions in foot and ankle. Int Orthop 2013; 37:1697–706
- Rikken QGH, Kerkhoffs GMMJ. Osteochondral lesions of the talus: an individualized treatment paradigm from the Amsterdam perspective. Foot Ankle Clin 2021; 26:121–36
- Yasui Y, Hannon CP, Fraser EJ, et al. Lesion size measured on MRI does not accurately reflect arthroscopic measurement in talar osteochondral lesions. Orthop J Sports Med 2019; 7:2325967118825261
- Rios AM, Rosenberg ZS, Bencardino JT, Perez Rodrigo S, Garcia Theran S. Bone marrow edema patterns in the ankle and hindfoot: distinguishing MRI features. AJR 2011; 197:720–729
- Pedersen ME, DaCambra MP, Jibri Z, Dhillon S, Jen H, Jomha NM. Acute osteochondral fractures in the lower extremities–approach to identification and treatment. Open Orthop J 2015; 9:463–474
- Gianakos AL, Yasui Y, Hannon CP, Kennedy JG. Current management of talar osteochondral lesions. World J Orthop 2017; 8:12–20
- Szaro P, Geijer M, Solidakis N. Traumatic and non-traumatic bone marrow edema in ankle MRI: a pictorial essay. Insights Imaging 2020; 11:97
- van Dijk CN, Reilingh ML, Zengerink M, van Bergen CJA. Osteochondral defects in the ankle: why painful? Knee Surg Sports Traumatol Arthrosc 2010; 18:570–580
- Gross CE, Nunley JA. Acute Achilles tendon ruptures. Foot Ankle Int 2016; 37:233–239
- Shamrock AG, Varacallo M. Achilles tendon rupture. StatPearls [Internet]. Treasure Island (FL): StatPearls Publishing; www.ncbi.nlm.nih.gov/books/NBK430844. Cited Accessed Aug 18 2022
- Theobald P, Bydder G, Dent C, Nokes L, Pugh N, Benjamin M. The functional anatomy of Kager’s fat pad in relation to retrocalcaneal problems and other hindfoot disorders. J Ana 2006; 208:91
- Paoloni J. Tendon injuries–practice tips for GPs. Aust Fam Physician 2013; 42:176–180
- Bäcker HC, Wong TT, Vosseller JT. MRI assessment of degeneration of the tendon in Achilles tendon ruptures. Foot Ankle Int 2019; 40:895–899
- Dams OC, Reininga IHF, Gielen JL, van den Akker-Scheek I, Zwerver J. Imaging modalities in the diagnosis and monitoring of Achilles tendon ruptures: a systematic review. Injury 2017; 48:2383–2399
- Chang A, Miller TT. Imaging of tendons. Sports Health 2009; 1:293–300
- Aminlari A, Stone J, McKee R, et al. Diagnosing Achilles tendon rupture with ultrasound in patients treated surgically: a systematic review and meta-analysis. J Emerg Med 2021; 61:558–567
- Park SH, Lee HS, Young KW, Seo SG. Treatment of acute Achilles tendon rupture. Clin Orthop Surg 2020; 12:1–8
- Deng S, Sun Z, Zhang C, Chen G, Li J. Surgical treatment versus conservative management for acute Achilles tendon rupture: a systematic review and meta-analysis of randomized controlled trials. J Foot Ankle Surg 2017; 56:1236–1243

