A member of the Radiology Health Equity Coalition (RHEC), ARRS continues to collaborate with RHEC on curating and disseminating trusted resources and best practices for improving access to and utilization of preventive and diagnostic imaging.

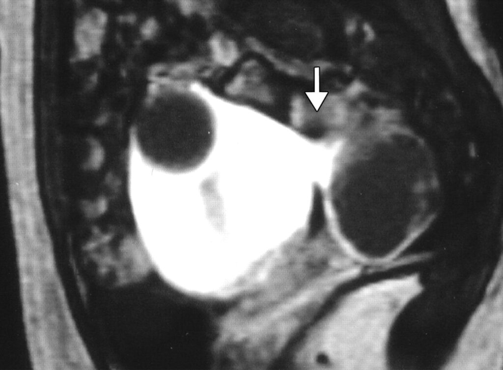
Uterine fibroids are benign tumors that develop in the uterus. While common among all women, fibroids disproportionately affect women of color. Fibroids are the leading cause of hysterectomy, with the average age of women undergoing this major surgery being just 39 years old (Fig. 1).

Why Patients Should Consider Uterine Fibroid Embolization
UFE offers numerous benefits compared to hysterectomy or other surgical options:
- Minimally Invasive
- Performed by an interventional radiologist, UFE involves no surgical incisions
- Outpatient Procedure
- Patients typically go home the same day
- Shorter Recovery Time
- Recovery from UFE takes only 5–7 days compared to the 6–8 weeks often required after a hysterectomy
- Uterus Preservation
- Unlike a hysterectomy, UFE allows women to keep their uterus, maintaining their fertility and hormonal balance
- Safe and Effective
- UFE has a success rate of 90%, providing relief from fibroid symptoms like heavy menstrual bleeding, pelvic pain, and increased urinary frequency (Fig. 2)

Why Keeping Your Patient’s Uterus Matters
Even for women not planning to have children, the uterus plays a vital role in overall health. Removing the uterus through hysterectomy can lead to serious complications, such as:
- Psychological distress (often compared to the emotional impact of castration in men)
- Sexual dysfunction, including reduced libido and loss of orgasm
- Urinary incontinence
- Significant bone loss
- Increased risks of high blood pressure, heart attack, and stroke
Nearly all patients who qualify for surgery are also candidates for UFE, and UFE is covered by all major insurance providers, including Medicare and Medicaid.


