Primary sclerosing cholangitis (PSC) is a rare, chronic disease that causes inflammation and scarring of the bile ducts. When left untreated, PSC can lead to severe complications like cholangitis and hyperbilirubinemia, as seen in this 25-year-old male—lost to follow-up for a whopping 13 years!
Background: With hyperbilirubinemia way up in the 30s, the patient underwent endoscopic retrograde cholangiopancreatography (ERCP) with plastic stent placement. But as Christopher R. Bailey, MD, of Johns Hopkins Hospital presented during the ARRS Annual Meeting’s Vascular/Interventional Radiology Review, ERCP didn’t really intervene too terribly much.

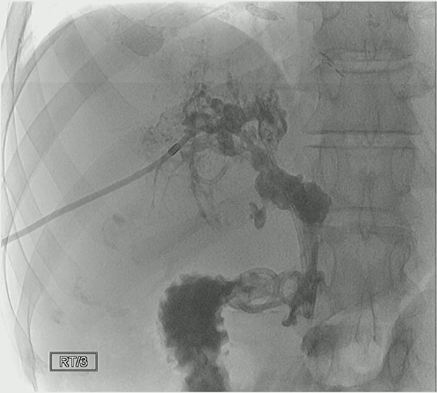
A stark example of what PSC can look like for a patient out in the world untreated for more than a decade, take note of key cholangiographic features, including:
- Multifocal strictures—Numerous short, irregular narrowings along intrahepatic and extrahepatic bile ducts.
- Beaded appearance—Alternating pattern of strictures and dilations creates a “string of beads” look.
- Pruning—Loss of smaller peripheral ducts; distal branches become fewer and less visible.
- Irregular walls—Bile ducts often have rough, irregular contours (not smooth like normal ducts).
- Dominant strictures (sometimes)—A single, especially tight narrowing in a major bile duct, often the common bile duct or hepatic ducts.
Bottom Line: Whereas ERCP with plastic stent remains common, it may not always be an effective intercession, especially in advanced cases. In this instance, percutaneous biliary tube placement proved to be a successful alternative to bridge the patient to liver transplant.


Leave a Reply